Υγεία
Καρκίνος του αίματος: Ελπίδες για θεραπεία με νέο φάρμακο
Ένα φάρμακο που βρίσκεται σε κλινικές δοκιμές για τον καρκίνο του μαστού θα μπορούσε να ιάσει τον καρκίνο του αίματος, δείχνει επιστημονική μελέτη που διεξήχθη στις ΗΠΑ.

Άκουσε το άρθρο
Έναν πιθανό τρόπο αναχαίτισης της εξέλιξης διαφόρων μορφών καρκίνου του αίματος με τη χρήση φαρμάκου που βρίσκεται ήδη σε κλινικές δοκιμές κατά του καρκίνου του μαστού εντόπισαν ερευνητές, με επικεφαλής την Ιατρική Σχολή του Πανεπιστημίου Ουάσινγκτον στο Σεντ Λούις σε δύο νέες μελέτες που δημοσιεύονται στο «Nature Communications» και στο «Blood Cancer Journal».
Οι δύο μελέτες διεξήχθησαν σε δείγματα ασθενών και σε ζωικά μοντέλα και διαπίστωσαν ότι αναστέλλοντας μια πρωτεΐνη που ονομάζεται RSK1 μειώνεται η φλεγμονή και σταματά η εξέλιξη των καρκίνων του αίματος που ονομάζονται μυελοϋπερπλαστικά νεοπλάσματα (MPN), καθώς και μιας επιθετικής μορφής οξείας μυελοειδούς λευχαιμίας (AML). Οι τρέχουσες θεραπείες για το MPN μειώνουν μόνο τα συμπτώματα που προκαλεί η νόσος, αλλά δεν επιβραδύνουν την εξέλιξη της νόσου ούτε μειώνουν τον κίνδυνο να εξελιχθεί σε οξεία λευχαιμία.
Ο συγκεκριμένος αναστολέας RSK1 βρίσκεται ήδη σε κλινικές δοκιμές ως θεραπεία για τον καρκίνο του μαστού και οι πρώτες δοκιμές έδειξαν ότι τα πειραματόζωα με μεταστατικό καρκίνο του μαστού ανέχθηκαν καλά το φάρμακο με χαμηλού βαθμού παρενέργειες.

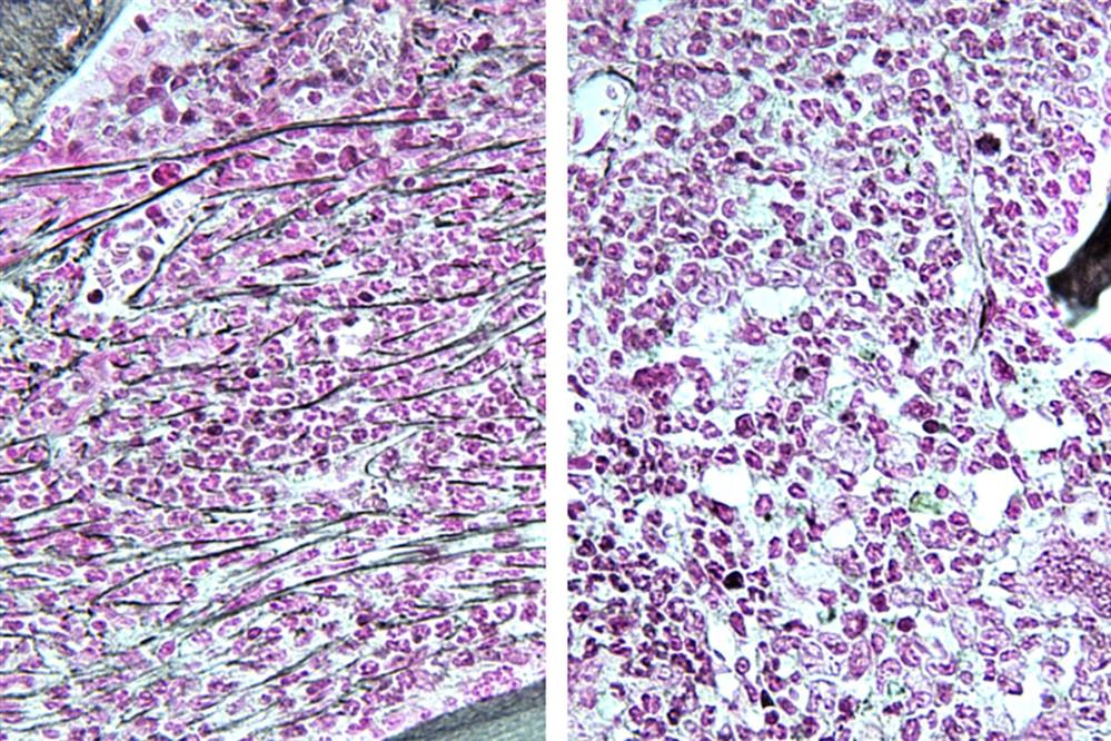
Στη φωτογραφία αποτυπώνεται ο μυελός των οστών ενός ποντικού με μυελοϋπερπλαστικό νεόπλασμα (αριστερά), ο οποίος παρουσιάζει ίνωση ή ουλώδη ιστό (οριζόντιες γραμμές). Ένα ποντίκι με την ίδια ασθένεια που υποβλήθηκε σε θεραπεία με αναστολέα RSK1 παρουσιάζει μυελό των οστών που μοιάζει φυσιολογικός (δεξιά).
Πηγή: ΑΠΕ - ΜΠΕ
Παλαιό Φάληρο: Άνδρας βρέθηκε μαχαιρωμένος σε τουαλέτα καταστήματος
Καίτη Γκρέυ: Το πραγματικό όνομα, οι επιτυχίες και η γνωριμία με τον Έλβις Πρίσλεϊ
To TikTok επαναλειτουργεί στις ΗΠΑ με εντολή Τραμπ
Ακολουθήστε το antenna.gr στο Google News και μάθετε πρώτοι όλες τις ειδήσεις!

